Lives We’ve Helped Change
Our patient stories reflect how specialist-led care made a meaningful difference in everyday life.
How Treatment Changed Their Lives
Behind every transformation is our commitment to safe treatment, honest advice, and reliable aftercare.
Results of Trusted Care
A closer look at the surgical decisions, precision, and care behind every result.
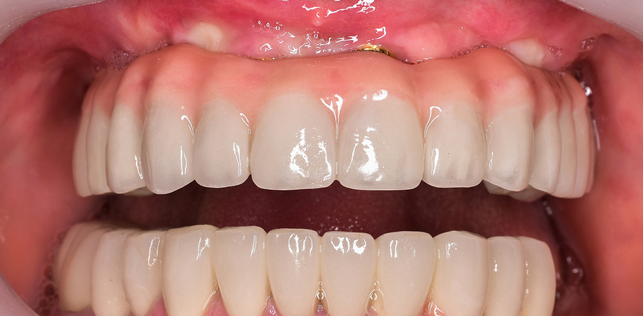
All-on-X Upper Jaw (Teeth-on-the-Day)
A full upper-jaw restoration completed in one day with guided implant placement, giving back a confident smile, stable bite, and natural feel from the first moment.
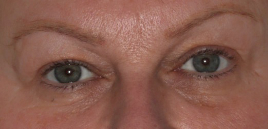
Upper Blepharoplasty (Surgical)
A precise eyelid surgery that lifted heavy upper lids and restored a fresher, more open look while keeping the patient’s natural expression intact.
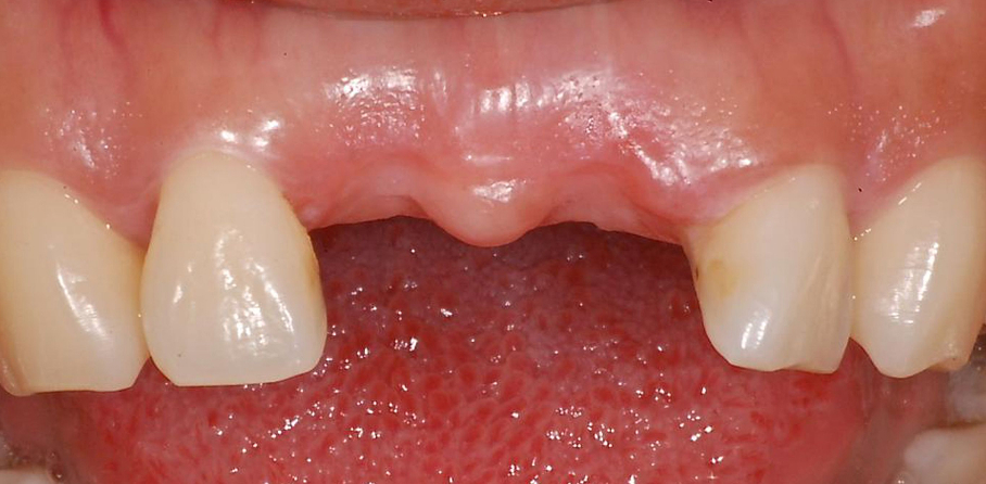
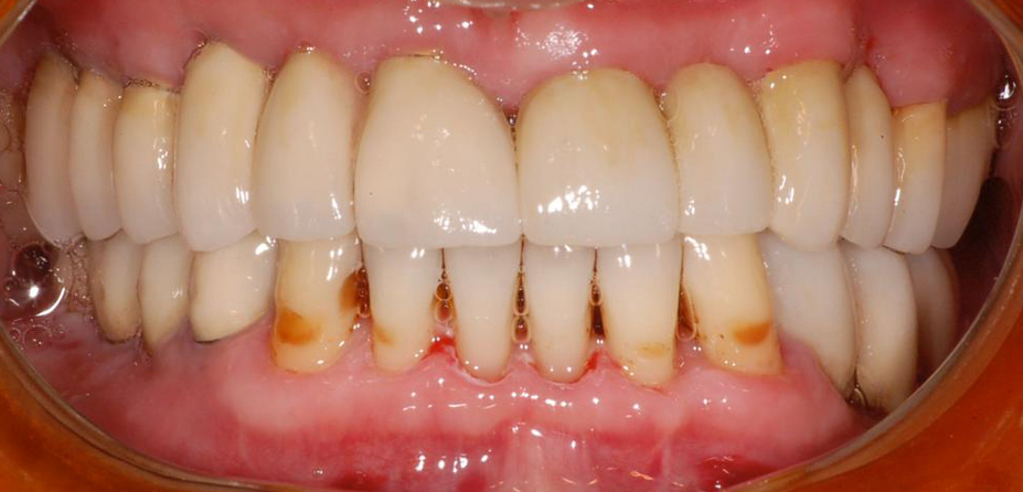
Dental Implant with Soft-Tissue and Bone Grafting
Through precise bone and gum grafting, we rebuilt the missing support and placed an implant that feels strong, secure, and completely natural.
All-on-X Upper Jaw (Teeth-on-the-Day)
A full upper-jaw restoration completed in one day with guided implant placement, giving back a confident smile, stable bite, and natural feel from the first moment.
All-on-X Upper and Lower Jaw (Teeth-on-the-Day)
A same-day full-arch implant procedure rebuilding both jaws. Restoring natural bite, speech, and confidence in one coordinated treatment.
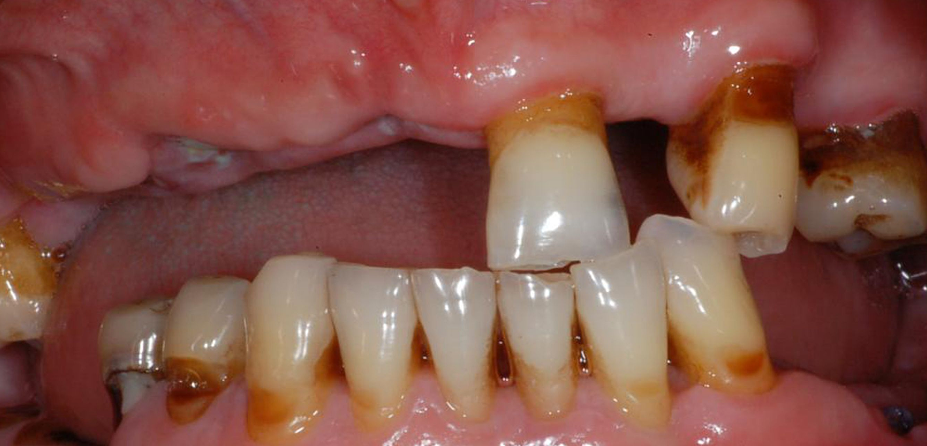
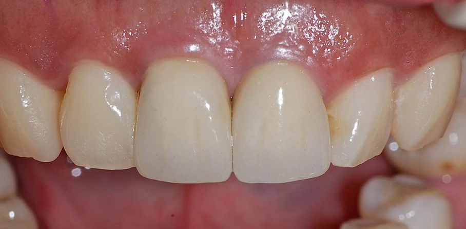
Dental Implants
This treatment replaced missing teeth with advanced implants, restoring bite stability and a natural appearance that blends perfectly with the smile.
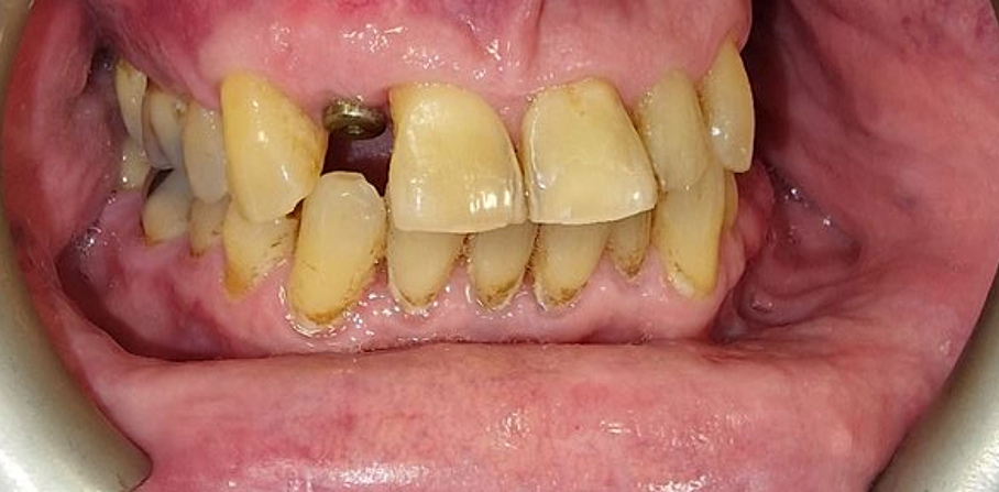
Immediate Dental Implants with Bone Grafting
Using a same-day implant approach with guided bone grafting, we restored both natural bite and aesthetics quickly and comfortably.
Dental Implants
This treatment replaced missing teeth with advanced implants, restoring bite stability and a natural appearance that blends perfectly with the smile.
Immediate Dental Implants with Bone Grafting
Using a same-day implant approach with guided bone grafting, we restored both natural bite and aesthetics quickly and comfortably.
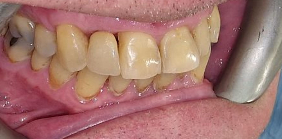
Dental Implants with Bone Expansion
With careful bone expansion and implant placement, we restored the patient’s bite strength and helped them achieve a healthy, natural smile.
Upper Surgical Blepharoplasty (5 Days Post-Op)
Only five days after surgery, the eyes already appear lifted and clear, reflecting a smooth healing process and a balanced result.
Lip Augmentation (Dermal Fillers)
The patient sought natural volume and definition, which was achieved through precise filler placement that enhanced the lip’s shape while maintaining a soft, balanced look.
Surgical Direct Neck Lift (1 Week Post-Op)
One week after surgery, the patient’s neckline already looks refined and lifted, showing early, confident signs of a smooth recovery.
All-on-X Upper and Lower Jaw (Teeth-on-the-Day)
A same-day full-arch implant procedure rebuilding both jaws. Restoring natural bite, speech, and confidence in one coordinated treatment.
Face and Neck Thread Lift
All-on-X Upper Jaw (Teeth-on-the-Day)
Feedback That Matters
Read directly from those who have experienced treatment first-hand. Their words reflect the quality of care, communication, and results delivered every day.
Mr. Anabtawi’s calm approach and modern techniques made all the difference.
My wisdom tooth removal was smooth and virtually painless. Highly recommended!
From the first consult to recovery, everything was clearly explained and very professional.
Mr. Anabtawi explained all the procedures in a way that was easily understood the treatment before and after was excellent.
Professional and generally nice guy. Extremely happy with every part of Mr. Anabtawi’s work.
Absolutely amazing treatment and service. I wouldn’t go anywhere else!
Mohammed is a very competent oral surgeon.
Mr. Anabtawi is an ARTIST! I had a nonsurgical rhinoplasty,and I am thrilled with the result of my nose procedure.
Mr. Anabtawi gave great advice and opinions of treatment I felt very at ease throughout the process.
I’ve had various treatments with Mr. Anabtawi over the years and have been really happy with the results.
I am very happy with the work Mr. Anabtawi has done for me to have a full smile again.
From Their Journey to Yours!
Let’s discuss a treatment plan designed around your unique goals.